Las encías son una parte crucial de tu salud bucal, y pueden inflamarse debido a diversas razones. Las dos causas más comunes de la inflamación de las encías son la Gingivitis y la Periodontitis.
Menos frecuentemente, las encías pueden inflamarse por otros motivos, ya sea de origen local o como respuesta a enfermedades sistémicas.

Gingivitis: El Primer Paso
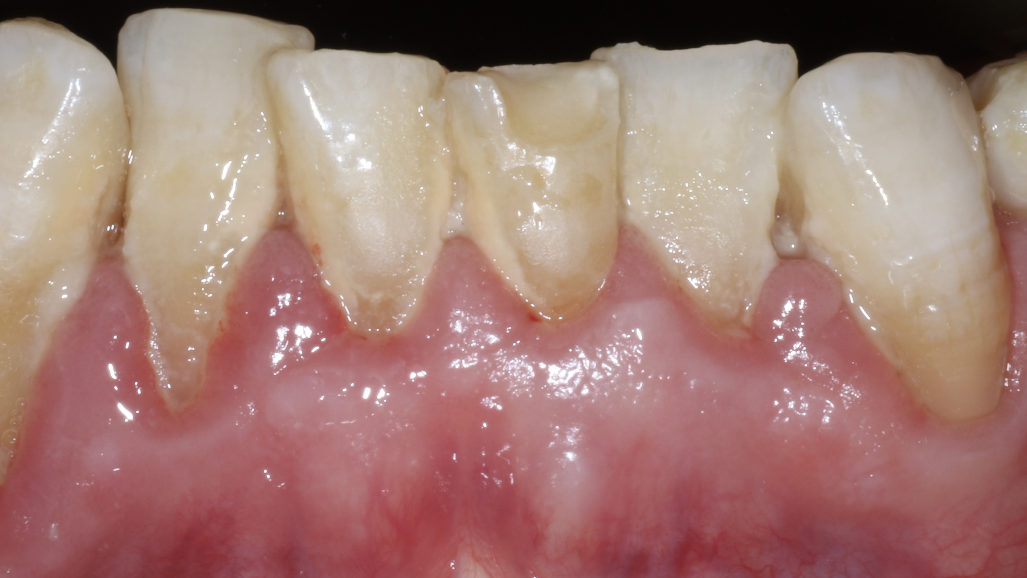
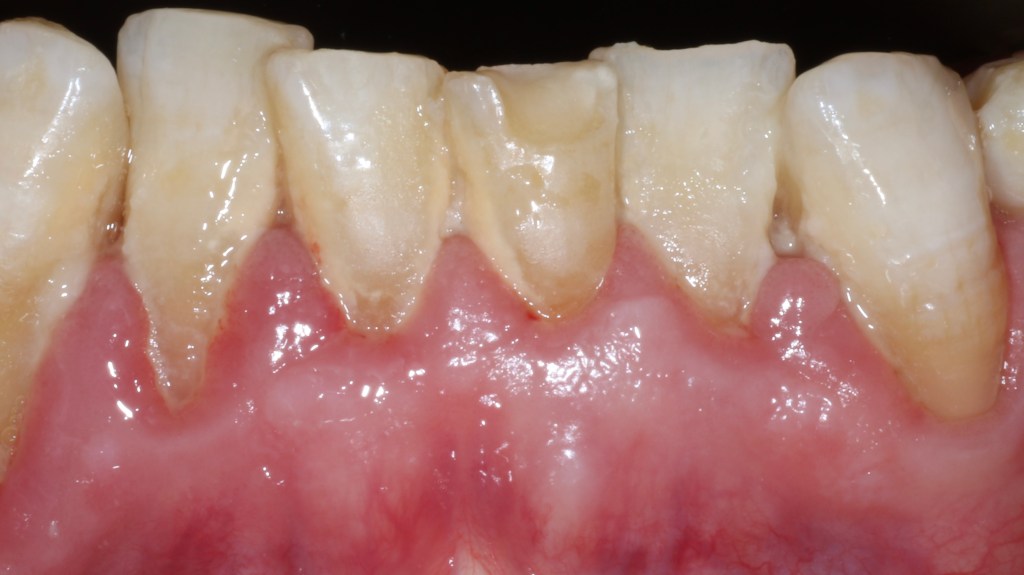
La gingivitis es una forma leve de enfermedad gingival y periodontal. Los síntomas incluyen encías enrojecidas, agrandamiento y sangrado fácil. A menudo, no se sienten molestias ni dolor en esta etapa temprana de la enfermedad. La buena noticia es que la gingivitis es reversible con tratamiento profesional y una adecuada higiene oral.

La placa bacteriana es la causa principal de la gingivitis, aunque factores como la diabetes, el tabaquismo, la predisposición genética, enfermedades sistémicas, el estrés, la malnutrición, la pubertad, cambios hormonales, embarazo, abuso de sustancias, infección por VIH y ciertos medicamentos pueden exacerbarla.
Periodontitis: Un Paso Más Allá
Si la gingivitis no se trata, puede avanzar a una condición más grave llamada periodontitis. Con el tiempo, la placa bacteriana crece y se adentra debajo de las encías. Las toxinas producidas por las bacterias inflaman las encías y desencadenan una respuesta inflamatoria crónica que destruye el hueso y los tejidos que sostienen los dientes. Esto puede provocar la formación de bolsas periodontales, que alojan grandes cantidades de bacterias. La periodontitis a menudo es asintomática y puede pasar desapercibida para el paciente. Eventualmente, puede causar la movilidad y pérdida de dientes.
Existen varios tipos de periodontitis, como la crónica, la agresiva y aquella asociada a enfermedades sistémicas. La identificación temprana y el tratamiento son clave para preservar la salud bucal.
Síntomas de Enfermedades Gingivo-Periodontales
La gingivitis y la periodontitis son enfermedades crónicas que a menudo carecen de síntomas visibles para el paciente, por lo que es fundamental una consulta odontológica para su detección. Sin embargo, algunos signos de alarma incluyen encías enrojecidas, sangrado al cepillarse, retracción de las encías, dientes móviles, cambios en la posición de los dientes, presencia de pus entre la encía y el diente, llagas en la boca, mal aliento persistente, cambios en la mordida y el calce de prótesis removibles. Millones de personas desconocen que padecen estas enfermedades, lo que puede llevar a la pérdida de dientes.
Factores de Riesgo de Enfermedades Gingivo-Periodontales
La placa bacteriana es la causa principal de la gingivitis y la periodontitis, pero varios factores de riesgo pueden agravar su impacto:
Edad: Estudios indican que la periodontitis es más prevalente en personas mayores.
Tabaquismo: Fumar aumenta el riesgo de desarrollar periodontitis.
Genética: Algunas personas son genéticamente más susceptibles a estas enfermedades, incluso con hábitos de higiene oral adecuados.
Estrés: El estrés puede debilitar las defensas del cuerpo, haciéndolo más vulnerable a infecciones como la periodontitis.
Bruxismo: El rechinar de dientes puede acelerar la progresión de la enfermedad al aplicar fuerzas excesivas en los tejidos de soporte dental.
Medicamentos: Algunos medicamentos pueden afectar la salud de las encías, así que informa a tu odontólogo sobre cualquier cambio en tu medicación.
Otras Enfermedades y Condiciones Sistémicas: Algunas enfermedades, como enfermedades cardiovasculares, diabetes y malnutrición, pueden empeorar la salud de las encías.
Cuidar de tus encías es fundamental para mantener una sonrisa saludable y prevenir complicaciones a largo plazo. No subestimes la importancia de una buena higiene oral y visitas regulares al dentista para mantener tus encías en óptimas condiciones. ¡Tu sonrisa te lo agradecerá!
Las encías inflamadas enferman tu cuerpo
La inflamación de encías, en particular las afecciones como la gingivitis y la periodontitis, no solo afecta la salud bucal, sino que también tiene un impacto sustancial en la salud y bienestar general. Estas enfermedades periodontales se han vinculado a diversos problemas sistémicos, lo que subraya la importancia de cuidar adecuadamente de la salud de las encías.
La relación entre las enfermedades periodontales y la salud sistémica es un campo de estudio en constante evolución. Numerosos estudios han demostrado que la inflamación crónica en las encías puede aumentar el riesgo de desarrollar afecciones médicas serias. Por ejemplo, se ha establecido una conexión entre la periodontitis y enfermedades cardiovasculares, como la enfermedad cardíaca y los accidentes cerebrovasculares. La inflamación de las encías puede contribuir a la inflamación sistémica en el cuerpo, un factor de riesgo importante para las enfermedades cardíacas.
Además, la diabetes es otra condición sistémica que puede verse agravada por las enfermedades periodontales. Las personas con diabetes son más propensas a desarrollar gingivitis y periodontitis, y estas a su vez pueden dificultar el control de los niveles de azúcar en sangre. La relación bidireccional entre la diabetes y las enfermedades periodontales es un ejemplo de cómo la salud bucal y sistémica están interconectadas.
La inflamación crónica en las encías también ha sido asociada con problemas respiratorios, artritis reumatoide, algunos tipos de cáncer, y complicaciones en el embarazo, entre otros. La conexión entre las enfermedades periodontales y la salud sistémica subraya la importancia de cuidar de tus encías como parte integral de tu bienestar general.
Mantener una buena higiene oral, programar visitas regulares al dentista y tratar las enfermedades periodontales a tiempo no solo preserva tu sonrisa, sino que también contribuye a mantener un cuerpo más saludable y un bienestar general óptimo. La inversión en la salud de tus encías es una inversión en tu salud en general.
Links de la Federación Europea de Periodoncia
- Tratamiento de las Encías Enfermas
- Prevención de la Gingivitis y Periodontitis
- Enfermedad de las Encías y Salud General
- Comprueba tus Síntomas
- Preguntas Frecuentes
