Las recesiones gingivales, también conocidas como encías retraídas, son un proceso en el cual el tejido de las encías que rodea los dientes se desplaza, exponiendo la raíz dental. La causa más común de este fenómeno es la inflamación en encías delgadas y frágiles, conocidas como ‘biotipo gingival delgado’. Esta inflamación puede ser desencadenada por la acumulación de placa bacteriana alrededor de los dientes (gingivitis o periodontitis), una higiene oral excesivamente agresiva, como el uso de cepillos de dientes muy duros, o la aplicación de productos químicos en las encías.
El biotipo gingival delgado puede deberse a factores genéticos, la posición de los dientes o incluso como resultado de tratamientos de ortodoncia. En otras palabras, algunos individuos o dientes son más propensos a desarrollar recesiones gingivales.
Estas recesiones pueden afectar uno o varios dientes, siendo la cara externa la más comúnmente comprometida, aunque también pueden afectar la cara interna e incluso el tejido que se encuentra entre dos dientes, conocido como ‘papila interdental’.
Las recesiones gingivales pueden causar problemas estéticos y suelen estar asociadas con dolor o sensibilidad a cambios de temperatura. Existen recesiones gingivales pequeñas (3 mm o menos) que, una vez desarrolladas, no avanzan y, por lo tanto, no representan una condición patológica. Sin embargo, hay recesiones de mayor tamaño que pueden ser progresivas y, en muchos casos, poner en peligro la salud del diente. Un periodoncista capacitado puede diferenciar entre estos casos

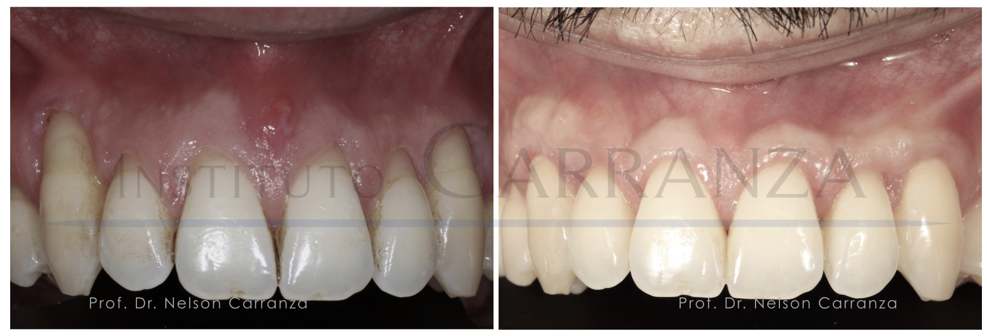
Retraccion de encía recuperada por medio de un injerto de encia y microcirugia (Dr. Nelson Carranza)
Tratamiento quirúrgico de las recesiones gingivales
El tratamiento comienza por identificar, y de ser posible controlar la causa que produjo la recesión.
Si un cepillado traumatico fue la causa, el tratamiento incluirá la indicación de un cepillo dental blando y una re-educación en técnicas de higiene oral.
Si la inflamación producida por placa bacteriana fue la causa, el tratamiento comenzará por controlar la gingivitis o la periodontitis.
Una vez controlada la causa, es posible reconstruir la encía perdida a través de procedimientos de Cirugía Plástica Periodontal. La utilización de técnicas de microcirugía (mediante la utilización introperatoria de un microscopio quirúrgico) han alcanzado excelentes niveles de predictibilidad y durabilidad de los resultados, pudiendo en muchas situaciones lograr la reconstitución total del tejido perdido.
Dependiendo de las características de la recesión gingival, el tejido perdido puede ser reemplazado por un nuevo tejido.
La nueva encía puede provenir del propio paciente, y comúnmente se obtiene del paladar, o de otras fuentes donantes.
Existe un gran variedad de técnicas quirúrgicas, y su indicación depende de las características de particulares de cada caso. Su Periodoncista podrá explicarle cual es la mejor alternativa para su caso en particular.
E todos los casos, el objetivo debe ser cubrir la recesión gingival y producir un nuevo tejido lo suficientemente grueso (biotipo grueso) para prevenir futuras recidivas.



Reconstruccion de la papila interdental
La papila interdental perdida representa un problema estético de muy difícil solución.
El Dr. Nelson Carranza ha desarrollado una técnica quirúrgica mediante la cual se puede mejorar la pérdida de la papila. La misma ha sido publicada y aceptada internacionalmente, aunque aún se encuentra en su fase de evaluación clínica.


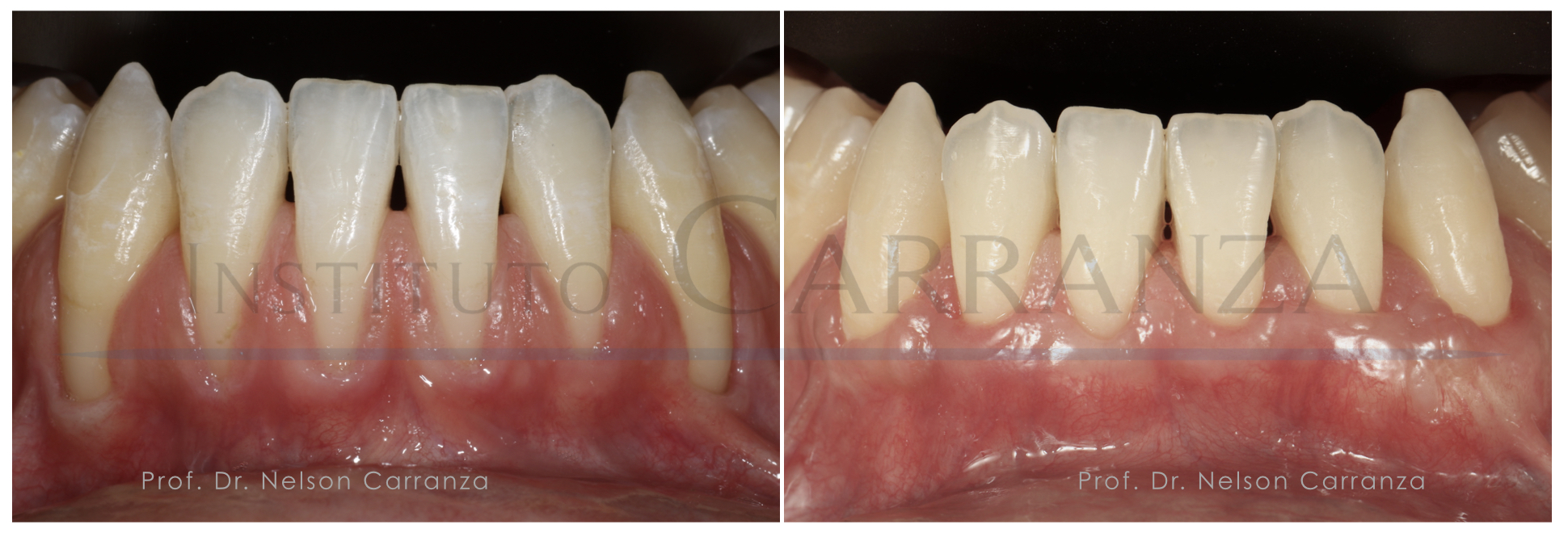
Galería de Recesiones Gingivales Tratadas en el Instituto Carranza










